Our Treatments
Gums affected by periodontosis can be cured, with treatment ranging from simple scaling and curettage up to actual periodontal plastic surgery. The total duration of periodontal treatment is varies for each individual.
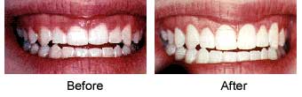
Aesthetic and Gingivectomy
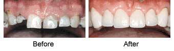
Gingival recession and Gingival Graft

Gum recession is one of the gum problems that patients can frequently identify. When the recession is in the front of the mouth, it may be readily seen, especially if it is on the upper front teeth.
Aesthetic Periodontal Crown-Lengthening Surgery

The appearance of the gingival tissues surrounding the teeth plays an important role in the esthetics of the anterior maxillary region of the mouth.

Abnormalities in symmetry and contour can significantly affect the harmonious appearance of the natural or prosthetic dentition. As well nowadays, patients have a greater desire for more esthetic results which may influence treatment choice.

Esthetic periodontal surgery is sometimes performed to change the dimension of the front teeth and to optimize the esthetic outcome of treatment with new crown restorations or other esthetic dental care.

In some instances a simple procedure can increase the length of the teeth to improve esthetics. Extensive dental work is often necessary to restore oral health.


Periodontal Plastic Surgery  is predictable in creating thick, tough gum tissue (called "attached gingiva") which will prevent further recession, and in some cases will also cover the existing recession. An important point to understand is that these periodontal plastic surgical techniques have the treatment of recession as their primary treatment objective.
Advance appointment booking is needed to see the Periodontist. Please kindly contact us.
Copyright © 2009 Carvalho's Dental Clinic.
Site designed and maintained by INETGOA
ISO Certified Dental Clinic, Goa.